Όταν ένας 17χρονος κατάπιε μια βελόνα ράβοντας τα ρούχα του, δεν το πρόσεξε καν. Έτσι ήταν έκπληξη για όλους όταν, μερικές μέρες αργότερα, οι γιατροί τη βρήκαν σε ένα πολύ ασυνήθιστο μέρος: την καρδιά του.
Ο 17χρονος πήγε στο δωμάτιο έκτακτης περιστατικών μετά από πόνο στο στήθος για τρεις ημέρες, σύμφωνα με έκθεση της υπόθεσης, που δημοσιεύθηκε στις 29 Ιουλίου στο The Journal of Emergency Medicine. Ο έφηβος είπε ότι ο πόνος ήταν έντονος, ακτινοβολήθηκε στην πλάτη του και ήταν χειρότερος όταν ξαπλώνει ή αναπνέει βαθιά.
Τα αποτελέσματα ενός ηλεκτροκαρδιογραφήματος ήταν μη φυσιολογικά και οι γιατροί ανησυχούσαν ότι ο ασθενής είχε περιμυοκαρδίτιδα ή φλεγμονή του καρδιακού μυός και της γύρω μεμβράνης. Οι εργαστηριακές εξετάσεις έδειξαν επίσης ότι ο έφηβος είχε αυξημένα επίπεδα πρωτεϊνών στο αίμα του που μπορεί να υποδηλώνουν καρδιακό τραυματισμό.
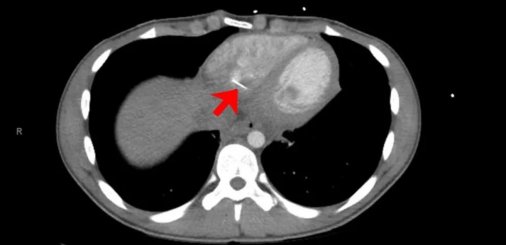
Μια αξονική τομογραφία του στήθους του έδειξε ότι υπήρχε ένα “γραμμικό μεταλλικό ξένο” αντικείμενο στην καρδιά του, ανέφερε η έκθεση. Το αντικείμενο είχε μήκος περίπου 3,5 εκατοστά και έβγαινε από τη δεξιά κοιλία της καρδιάς.
Ο έφηβος είπε αρχικά στους γιατρούς ότι δεν είχε καταπιεί ξένα αντικείμενα ή δεν είχε σωματικό τραύμα στο στήθος του. Αλλά σε μια μεταγενέστερη συνέντευξη, αποκάλυψε ότι προσαρμόζει τα ρούχα του και μερικές φορές κρατά βελόνες στο στόμα του. Ωστόσο, είπε ότι δεν γνώριζε για την κατάποση της βελόνας.
Υποβλήθηκε σε χειρουργική επέμβαση ανοιχτής καρδιάς για να αφαιρεθεί το αντικείμενο.
Ξένα σώματα έχουν βρεθεί στην καρδιά πριν, αλλά είναι κάτι σπάνιο, ειδικά σε παιδιά και εφήβους, ανέφερε η έκθεση. Το 2016, οι γιατροί στην Κίνα ανέφεραν την περίπτωση μιας 48χρονης γυναίκας που εμφάνισε εγκεφαλικό επεισόδιο αφότου μια βελόνα τρύπησε το στήθος της και κόλλησε στην καρδιά της.
Η νέα περίπτωση φαίνεται να είναι μια από τις λίγες στην οποία ο ασθενής κατάπιε κατά λάθος μια βελόνα που κατέληξε στην καρδιά του. Οι γιατροί πιστεύουν ότι μετανάστευσε απευθείας από το στομάχι του στην καρδιά του, αν και μπορεί να είχε μεταναστεύσει και από άλλο μέρος κατά μήκος του γαστρεντερικού σωλήνα, όπως από τον οισοφάγο ή το λεπτό έντερο, είπε η Δρ. Bonnie Mathews, επικεφαλής συγγραφέας της νέας έκθεσης και βοηθός καθηγητής της παιδιατρικής στο UMass Memorial Medical Center στο Worcester της Μασαχουσέτης.
Οι συγγραφείς λένε ότι η έκθεσή τους μπορεί να έχει επιπτώσεις στη θεραπεία αιχμηρών αντικειμένων που καταπίνονται. Οι τρέχουσες οδηγίες αναφέρουν ότι τα αιχμηρά αντικείμενα πρέπει να αφαιρεθούν εάν προκαλούν συμπτώματα, αλλά υπάρχει λιγότερη σαφήνεια σχετικά με το τι πρέπει να γίνεται όταν δεν προκαλούν συμπτώματα.
Μερικοί γιατροί λένε ότι εάν ένα ξένο σώμα που έχετε καταπιεί είναι μικρό και δεν προκαλεί συμπτώματα, πιθανότατα θα περάσει από το γαστρεντερικό σωλήνα χωρίς επιπλοκές, και έτσι οι ασθενείς μπορούν να εξετάζονται με επαναλαμβανόμενες σαρώσεις για να βρεθεί εάν θα αναπτύξουν προβλήματα.
Αλλά η νέα περίπτωση “επισημαίνει τις πιθανές καταστροφικές επιπλοκές της κατάποσης ξένων σωμάτων”, έγραψαν οι συγγραφείς στην έκθεση. “Πρέπει να δοθεί σοβαρή προσοχή στην αφαίρεση όλων των αιχμηρών, γραμμικών, ξένων σωμάτων για την πρόληψη επιπλοκών λόγω της μετανάστευσης, όπως αυτή που περιγράφεται σε αυτήν την περίπτωση”, κατέληξαν.
Ευτυχώς, ο έφηβος ανάρρωσε μετά τη χειρουργική επέμβαση και δεν είχε επιπλοκές, σύμφωνα με όσα είναι γνωστά μέχρι τώρα.
























