Έρευνα με επικεφαλής το Νοσοκομείο Ansan του Πανεπιστημίου της Κορέας αναφέρει ότι διαπιστώνεται συσχέτιση μεταξύ μέτριας έως σοβαρής αποφρακτικής υπνικής άπνοιας και αυξημένου κινδύνου εγκεφαλικών μικροαιμορραγιών.
Οι εγκεφαλικές μικροαιμορραγίες εμφανίζονται ως μικρές αλλοιώσεις στις μαγνητικές τομογραφίες και θεωρούνται πρώιμοι δείκτες εγκεφαλικής βλάβης. Οι συνδέσεις με συμπτωματικό εγκεφαλικό επεισόδιο και άνοια έχουν τεκμηριωθεί καλά, με συχνότητα εμφάνισης που κυμαίνεται από 3% στη μέση ηλικία έως 23% σε ηλικιωμένους ενήλικες.
Γνωστοί τροποποιήσιμοι παράγοντες περιλαμβάνουν το κάπνισμα, την υπέρταση, τη δυσλιπιδαιμία, τον διαβήτη και την καρδιοεγκεφαλοαγγειακή νόσο. Προηγούμενες μελέτες που διερευνούν την υπνική άπνοια και τις μικροαιμορραγίες έχουν δώσει ανάμεικτα αποτελέσματα, υποδηλώνοντας την ανάγκη για πιο ολοκληρωμένη μελέτη.
Στη μελέτη με τίτλο «Αποφρακτική Άπνοια Ύπνου και Μικροαιμορραγίες Εγκεφάλου σε Μεσήλικες και Ηλικιωμένους Ενήλικες», που δημοσιεύτηκε στο JAMA Network Open, οι ερευνητές σχεδίασαν μια μελέτη για να διερευνήσουν εάν η σοβαρότητα της αποφρακτικής άπνοιας ύπνου σχετίζεται με τον κίνδυνο εμφάνισης εγκεφαλικών μικροαιμορραγιών σε ενήλικες μέσης ηλικίας.
Τα δεδομένα προήλθαν από μια συνεχιζόμενη διαχρονική ομάδα μιας κορεατικής κοινότητας με παρακολούθηση ύπνου με πολυυπνογραφία στο σπίτι και μαγνητική τομογραφία εγκεφάλου κατά την έναρξη με δύο παρακολουθήσεις.
Συνολικά 1.441 συμμετέχοντες χωρίς μικροαιμορραγίες κατά την έναρξη ή προηγούμενη εγκεφαλοαγγειακή ή καρδιαγγειακή νόσο συμπεριλήφθηκαν μετά τους αποκλεισμούς. Οι κατηγορίες υπνικής άπνοιας κατά την έναρξη περιελάμβαναν 812 χωρίς αποφρακτική άπνοια ύπνου, 436 με ήπια αποφρακτική άπνοια ύπνου και 193 με μέτρια έως σοβαρή αποφρακτική άπνοια ύπνου.
Η νυχτερινή παρακολούθηση ύπνου στο σπίτι όρισε τις κατηγορίες δείκτη άπνοιας-υπόπνοιας ως 0–4,9 συμβάντα ανά ώρα (χωρίς άπνοια ύπνου), 5,0–14,9 συμβάντα ανά ώρα (ήπια) και 15,0 ή περισσότερα συμβάντα ανά ώρα (μέτρια έως σοβαρή).
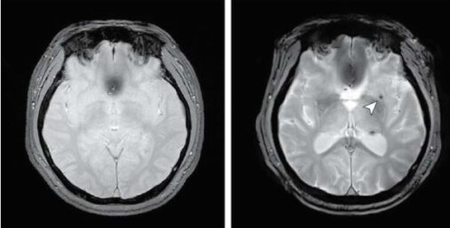
Οι εγκεφαλικές μικροαιμορραγίες αναγνωρίστηκαν ως εστιακές περιοχές μικρότερες από 10 mm με πολύ χαμηλό σήμα, όπως βαθμολογήθηκαν από ακτινολόγο που δεν γνώριζε την κατάσταση της άπνοιας ύπνου.

Εικόνες εγκεφαλικής μικροαιμορραγίας (CMB) κατά την έναρξη και την παρακολούθηση. Πίστωση: JAMA Network Open (2025). DOI: 10.1001/jamanetworkopen.2025.39874
Ποιος διατρέχει κίνδυνο;
Η συνολική συχνότητα εμφάνισης στα τέσσερα έτη έφτασε το 1,85% στην ομάδα με μη αποφρακτική άπνοια ύπνου, το 1,61% στην ήπια αποφρακτική άπνοια ύπνου και το 4,66% στη μέτρια έως σοβαρή αποφρακτική άπνοια ύπνου.
Η συνολική συχνότητα εμφάνισης στα οκτώ έτη έφτασε το 3,33% στην ομάδα με μη αποφρακτική άπνοια ύπνου, το 3,21% στην ήπια αποφρακτική άπνοια ύπνου και το 7,25% στη μέτρια έως σοβαρή αποφρακτική άπνοια ύπνου.
Είναι γενετικό;
Οι ερευνητές εξέτασαν εάν ένας γενετικός παράγοντας που είναι γνωστό ότι επηρεάζει την εγκεφαλοαγγειακή ευαλωτότητα, η κατάσταση φορέα APOE-ε4, θα μπορούσε να μεταβάλει την παρατηρούμενη συσχέτιση μεταξύ αποφρακτικής άπνοιας ύπνου και εγκεφαλικών μικροαιμορραγιών. Μεταξύ 1.233 συμμετεχόντων με πλήρη γενετικά δεδομένα, το 18,98% ήταν φορείς.
Όταν οι ερευνητές πρόσθεσαν την κατάσταση APOE-ε4 στο πολυπαραμετρικό μοντέλο, η συσχέτιση μεταξύ μέτριας έως σοβαρής άπνοιας ύπνου και περιστατικών μικροαιμορραγιών αυξήθηκε ελαφρώς στο 2,91 σε σύγκριση με 2,14 στην πλήρη ομάδα.
Η επιμονή της συσχέτισης μετά τον υπολογισμό της APOE-ε4 υποδηλώνει ότι η σύνδεση μεταξύ μέτριας έως σοβαρής αποφρακτικής άπνοιας ύπνου και εγκεφαλικών μικροαιμορραγιών δεν μπορεί να εξηγηθεί μόνο από τη γενετική προδιάθεση, αν και θα μπορούσε να είναι μια πρόσθετη ευαλωτότητα.
Τα ευρήματα δείχνουν ότι η μέτρια έως σοβαρή αποφρακτική άπνοια ύπνου σχετίζεται ανεξάρτητα με περιστατικά μικροαιμορραγιών στον εγκέφαλο και ότι αυτή η συσχέτιση αυξάνεται με την πάροδο του χρόνου.
Οι συγγραφείς υποστηρίζουν ότι η αποφρακτική άπνοια ύπνου αποτελεί έναν τροποποιήσιμο στόχο για την έγκαιρη διάγνωση και θεραπεία με στόχο την πρόληψη των μικροαιμορραγιών και την πιθανή μείωση του μελλοντικού φορτίου εγκεφαλικού επεισοδίου και άνοιας σε ηλικιωμένους πληθυσμούς.
Περισσότερες πληροφορίες: Ali Tanweer Siddiquee et al, Obstructive Sleep Apnea and Cerebral Microbleeds in Middle-Aged and Older Adults, JAMA Network Open (2025). DOI: 10.1001/jamanetworkopen.2025.39874.

























