Δεν είναι όλα τα σάκχαρα ίδια. Ενώ τείνουμε να θεωρούμε τη ζάχαρη συμβάλλει σε καταστάσεις όπως η παχυσαρκία και ο διαβήτης, υπάρχουν στην πραγματικότητα πολλοί τύποι μορίων ζάχαρης με διαφορετικές ιδιότητες και αποτελέσματα. Τώρα οι επιστήμονες ανακάλυψαν ότι ένα φυσικό είδος ζάχαρης, ένας δισσακχαρίτης με δύο μόρια γλυκόζης που ονομάζεται τρεαλόζη (trehalose) -γνωστό επίσης ως μυκόζη ή τρεμαλόζη- θα μπορούσε να βοηθήσει στην πρόληψη ενός τύπου ηπατικής νόσου. Μήπως τελικά η κατανάλωση ζάχαρης μπορεί να μην είναι τόσο κακή, αρκεί να βρούμε τον κατάλληλο τύπο;
Αν και όλα τα σάκχαρα αποτελούνται από τα ίδια βασικά συστατικά (άνθρακας, υδρογόνο και οξυγόνο), μπορούν να ταξινομηθούν με διαφορετικούς τρόπους, πράγμα που μπορεί να έχει πολύ διαφορετικές επιδράσεις στο σώμα. Για παράδειγμα, η γλυκόζη είναι ένας τύπος σακχάρου που απορροφάται εύκολα και μετατρέπεται σε ενέργεια από όλα τα κύτταρα του σώματος. Αντίθετα, η φρουκτόζη προσλαμβάνεται σχεδόν όλη από τα κύτταρα του ήπατος, όπου μετατρέπεται απευθείας σε λίπος.
Η κατανάλωση υπερβολικής ποσότητας φρουκτόζης, η οποία βρίσκεται στα φρούτα αλλά και στα αναψυκτικά, μπορεί να κάνει το συκώτι σας να συσσωρεύει λίπος μέσα στα κύτταρά του, όπως συμβαίνει και με την υπερβολική κατανάλωση αλκοόλ. Η μη αλκοολική εκδοχή της λιπώδους νόσου του ήπατος (NALFD) είναι στην πραγματικότητα μια σχετικά καλοήθης κατάσταση και η πλειονότητα των προσβεβλημένων ατόμων δεν εμφανίζουν συμπτώματα. Αλλά μερικές φορές μπορεί να εξελιχθεί σε ηπατίτιδα (φλεγμονή του ήπατος), κίρρωση (βλάβη του ηπατικού ιστού) ή ακόμη και καρκίνο του ήπατος.
Η NALFD έχει γίνει ένα σοβαρό πρόβλημα δημόσιας υγείας επειδή είναι πλέον πολύ συχνή. Επηρεάζει πάνω από 1 δισεκατομμύριο ανθρώπους παγκοσμίως και βρίσκεται ακόμα και στο 80% των παχύσαρκων ατόμων. Τουλάχιστον το 10% των μεταμοσχεύσεων ήπατος οφείλονται σε καταστάσεις που προήλθαν από NAFLD. Δεν υπάρχουν επί του παρόντος φάρμακα που να αναστρέφουν τη συσσώρευση λίπους στα ηπατικά κύτταρα.
Οι επιστήμονες της Ιατρικής Σχολής του Πανεπιστημίου της Ουάσιγκτον ήθελαν να δουν εάν τα ηπατικά κύτταρα θα μπορούσαν να “εξαπατηθούν” ώστε να “πιστέψουν” ότι δεν έχουν ενέργεια και έτσι θα έτρωγαν τα εσωτερικά τους λίπη, μια διαδικασία που ονομάζεται αυτοφαγία. Η έρευνα δείχνει ότι αυτή η διαδικασία κυτταρικού καθαρισμού θα μπορούσε να αναστρέψει τη συσσώρευση επιβλαβών εναποθέσεων που σχετίζονται με μια σειρά από ασθένειες, συμπεριλαμβανομένης της νόσου Χάντιγκτον και Πάρκινσον.
Προκαλεί αυτοφαγία
Οι ερευνητές στράφηκαν στην τρεαλόζη, η οποία βρίσκεται στα μανιτάρια σιτάκε (shiitake) και στα μανιτάρια στρειδιών. Βρήκαν ότι η τρεαλόζη μπλοκάρει αποτελεσματικά την πρόσληψη γλυκόζης στα ηπατικά κύτταρα. Επιβεβαιώνοντας μια προηγούμενη μελέτη από άλλες ομάδες, έδειξαν ότι η τρεαλόζη μείωσε τα επίπεδα ενέργειας στα κύτταρα και προκάλεσε τα χαρακτηριστικά γνωρίσματα της αυτοφαγίας. Αυτό έδειξε ότι τα κύτταρα του ήπατος είχαν μια “αίσθηση” πείνας.
Στη συνέχεια, οι επιστήμονες τάισαν με τρεαλόζη ποντίκια που είχαν αναπτύξει λιπώδες συκώτι μετά από μια δίαιτα υψηλής περιεκτικότητας σε φρουκτόζη για 10 ημέρες. Η προσθήκη 3% τρεαλόζης στο πόσιμο νερό των ποντικών προκάλεσε αύξηση στους δείκτες αυτοφαγίας στο συκώτι, μείωσε τα επίπεδα λίπους και χοληστερόλης στο αίμα και απέτρεψε τη συσσώρευση ηπατικού λίπους. Οι ερευνητές πρότεινα ότι η τρεαλόζη μπορεί να έχει τη δυνατότητα να χρησιμοποιηθεί ως φαρμακοτρόφιμο (nutraceutical) -δηλαδή ένα προϊόν διατροφής με φαρμακευτικές ή ευεργετικές ιδιότητες- για τη θεραπεία της NAFLD ή ακόμα και άλλων ασθενειών προκαλώντας αυτοφαγία.
Δεν είναι η πρώτη φορά που ένα σάκχαρο έχει προταθεί ότι έχει πιθανές επιδράσεις στην προαγωγή της υγείας. Η ολιγοφρουκτόζη και η ινουλίνη είναι δύο μακριές αλυσίδες μορίων ζάχαρης που αυξάνουν τα επίπεδα των «καλών βακτηρίων» στο έντερο και προσδίδουν πολύ λιγότερες θερμίδες στο σώμα από τα πιο συχνά χρησιμοποιούμενα σάκχαρα, αν και είναι επίσης πολύ λιγότερο γλυκά. Ως αποτέλεσμα, η ολιγοφρουκτόζη και η ινουλίνη θεωρούνται ωφέλιμα για την υγεία.
Αλλά προτού αρχίσετε να βάζετε τρεαλόζη στο τσάι σας, θα πρέπει να ξέρετε ότι δεν γνωρίζουμε τι άλλες επιπτώσεις μπορεί να έχουν μεγάλες δόσεις αυτού του μορίου στο υπόλοιπο σώμα μας. Για παράδειγμα, ο τρόπος με τον οποίο εμποδίζει την πρόσληψη της γλυκόζης από τα κύτταρα είναι παρόμοιος με τη διαδικασία που αυξάνεται η γλυκόζη στο αίμα των διαβητικών -η τρεαλόζη αναστέλλει μέλη της οικογένειας SLC2A (επίσης γνωστή ως GLUT) που μεταφέρουν τη γλυκόζη εντός των κυττάρων. Το ανθρώπινο έντερο περιέχουν επίσης το ένζυμο τρεαλάση, το οποίο μετατρέπει το μεγαλύτερο μέρος της τρεαλόζης που τρώμε σε γλυκόζη, επομένως θα χρειαζόταν πιθανώς μια μεγάλη δόση για να φτάσει η τρεαλόζη στο ήπαρ. Για τους ανθρώπους, η κατάποση ισοδύναμης ποσότητας τρεαλόζης όπως στο πείραμα με τα ποντίκια θα σήμαινε την κατανάλωση επιπλέον 1.000 θερμίδων την ημέρα, κάτι που θα μπορούσε να οδηγήσει σε σημαντική αύξηση του βάρους.
Φαίνεται απίθανο η κατανάλωση οποιασδήποτε ζάχαρης σε μεγάλες ποσότητες να μην συνοδεύεται από μειονεκτήματα για την υγεία. Αλλά ακόμα κι αν η τρεαλόζη δεν αποδειχθεί μια νέα θαυματουργή ζάχαρη με δυνατότητα θεραπείας ανθρώπινων ασθενειών, αυτή η έρευνα τουλάχιστον δίνει την ελπίδα ότι μπορεί να βρεθεί ένας τρόπος για την αντιμετώπιση της μη αλκοολικής λιπώδους νόσου του ήπατος.
Σαν τη νηστεία
Το 2018 η ίδια ομάδα ερευνητών μελέτησε περαιτέρω το ρόλο της τρειλόζης στα ποντίκια. Και βρήκε ότι τα ποντίκια που τρέφονταν με μια διατροφή πλούσια σε τρανς λιπαρά και χοληστερόλη για 12 εβδομάδες εμφανίζουν εναποθέσεις λίπους στο ήπαρ. Αυτή η μελέτη έδειξε ότι η τρεαλόζη εμποδίζει τη γλυκόζη να εισέλθει στο ήπαρ και ενεργοποιεί ένα γονίδιο, το Aloxe3, που βελτιώνει την ευαισθησία στην ινσουλίνη, μειώνοντας την εναπόθεση λίπους στο συκώτι και τον κίνδυνο εμφάνισης διαβήτη. Η ενεργοποίηση του γονιδίου κάνει το σώμα να καίει περισσότερες θερμίδες και μειώνει τη χοληστερόλη και τα τριγλυκερίδια στο αίμα. Αυτά τα οφέλη είναι παρόμοια με τη νηστεία. Στα ποντίκια που νηστεύουν, ενεργοποιείται το ίδιο γονίδιο και βελτιώνει την ικανότητα του σώματος να χρησιμοποιεί την ινσουλίνη.
«Μάθαμε ότι αυτό το γονίδιο, το Aloxe3, βελτιώνει την ευαισθησία στην ινσουλίνη με τον ίδιο τρόπο που κοινά φάρμακα για τον διαβήτη -οι θειαζολιδινεδιόνες- βελτιώνουν την ευαισθησία στην ινσουλίνη», δήλωσε ο Brian DeBosch, επίκουρος καθηγητής παιδιατρικής. «Και δείξαμε ότι η ενεργοποίηση του Aloxe3 στο ήπαρ ενεργοποιείται τόσο από την τρεαλόζη όσο και από τη νηστεία, πιθανώς για τον ίδιο λόγο: επειδή το συκώτι στερείται γλυκόζης. Εάν η γλυκόζη μπορούσε να αποκλειστεί από το συκώτι με ένα φάρμακο, θα ήταν δυνατό να καρπωθούν τα οφέλη της νηστείας χωρίς τον αυστηρό περιορισμό της τροφής.

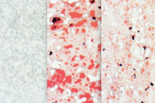
Τα ποντίκια που τρέφονται με μια τυπική δίαιτα έχουν ένα υγιές συκώτι (αριστερά). Τα ποντίκια που τρέφονται με δίαιτα υψηλής περιεκτικότητα σε τρανς λιπαρά και χοληστερόλη για 12 εβδομάδες έχουν μεγάλες εναποθέσεις λίπους (κόκκινη χρώση). Τα ποντίκια που τρέφονται με δίαιτα υψηλής περιεκτικότητας σε trans-λιπαρά και χοληστερόλη έχουν ενεργοποιημένο το γονίδιο Aloxe3 και παρουσιάζουν μικρότερες εναποθέσεις λίπους στο συκώτι.
Το Aloxe3 στο συκώτι -είτε ενεργοποιείται με νηστεία είτε με τρεαλόζη- οδηγεί τα ποντίκια όχι μόνο στην καλύτερη χρήση της ινσουλίνης και λιγότερων εναποθέσεων λίπους στο συκώτι, αλλά και στην αύξηση καύσης θερμίδων, στην αύξηση της θερμοκρασίας του σώματος, Επιπλέον, τα ποντίκια που είναι γενετικά επιρρεπή στην παχυσαρκία προστατεύονται από τις μεταβολικές ασθένειες εάν τους χορηγηθεί τρεαλόζη στο πόσιμο νερό. Πριν από αυτή τη μελέτη, το γονίδιο Aloxe3, ήταν γνωστό ότι βοηθά το δέρμα να διατηρήσει τη σωστή ενυδάτωση στο σώμα αλλά δεν ήταν γνωστό ότι παίζει κάποιο ρόλο στο συκώτι.

























